Table of contents

    Before and After

    C onveniently located in Brooklyn, the dental center boasts state-of-the-art, certified, and approved dental treatment facilities. Make your appointment today. Come see the center and meet Brooklyn cosmetic dentists Alex & Igor Khabensky, DDS. Experience, skill, knowledge, and compassion: you get it all because you need it all. Make your appointment today and get the dental treatment you need in the safe, reassuring hands of the best-rated cosmetic dentists.

    At our Cosmetic & Implants Dentistry of Brooklyn we use only the best quality medical grade titanium or titanium alloy for dental implants. High precision, low radiation 3D scans. Fastest & painless dental treatments. And now, we are proud to offer our patients the latest dental lasers, the most revolutionary technology in dentistry today.

    Dental Crowns Before and After

    Read more about teeth crowns: porcelain, ceramic, zirconia, Emax, and BruxZir crowns.

    Emax crowns offer durability and esthetics

    dental bonding before after teeth crown

    This patient presented with cracked tooth syndrome due to extensive forces on this upper premolar (image is flipped). This tooth did not have to be root canal treated, but was simply prepared and crowned using ceramic, lithium disilicate (emax) to be exact. The patient now is asymptomatic and chewing happily.


    Zirconia crowns offer strength and have come to be very popular treatment options

    crown before after

    This patient presented with large decay on his upper first molar (image is flipped). The tooth ended up being root-canal treated by our endodontist and a subsequent full zirconia crown was inserted. Much like emax restorations, zirconia crowns can be made to offer similar esthetic results.


    A mix of veneers and crowns to update a beautiful smile

    dental crowns, veneers brooklyn ny

    In this case, our patient wanted to update her smile. She had existing crowns on her lateral incisors and the rest of her teeth were untreated. We were able to widen and liven her smile using a mix of porcelain veneers and crowns. Minimally invasive preparations were used and our technicians were able to fabricate 7 gorgeous feldspathic porcelain restorations to match her existing dentition and give her the smile she’s always dreamed of.


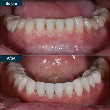
    Replacement of old dental restorations

    before after Denture Brooklyn NYC

    This patient presented with 4 old, bulky dental crowns on her anterior teeth. We were able to lengthen her teeth and provide characterization in her smile using 6 porcelain crowns and veneers albeit matching the shade to her existing dentition. You can really appreciate the difference at the incisal tips of her crowns in the before and after images, as that is just one of the discussions we will have with our patients undergoing any restorative procedures.


    Dental composites as well as ceramics can be used together

    before after dental crowns brooklyn ny

    In this case the patient presented with failing dental restorations and a desire to freshen up her smile. Finances played a role in the decision to only restore the front 2 teeth and reshape and replace the filling on her right lateral incisor. As you can see, we were still able to achieve a wonderful, harmonious result. It’s always important to listen to our patients in providing the best possible treatment to each individual.


    The single central

    before after dental anterior crowns brooklyn

    One of dentistry’s most difficult situations is the replacement of a single central incisor. These are the teeth that are front and center and require the most customization. We were able to achieve that by fabricating a single lithium disilicate crown with custom shading to match adjacent teeth. We were also able to prevent this tooth from needing any root canal treatment leading to a great result and a happy patient.


    Dental Veneers Before and After (press on teeth veneers)

    Internal tooth whitening

    before after internal-tooth whitening

    It's common for a tooth to darken following root canal therapy. A crown or veneer will oftentimes be the recommendation of choice, especially in posterior teeth which need support. In this example, we placed 35% phosphoric acid inside the discolored tooth for 5 days and repeated it once. The patient presented after 10 days with a much improved esthetic result. Internal bleaching also known as walking-bleach can be a nice, conservative option in certain situations.


    Read more about veneer teeth: including press-on veneers to porcelain, resin and prepless veneers.

    Ceramic veneers to enhance a smile that has worn over the years

    Veneers before after

    This patient wanted to enhance his smile that had become worn over the years or grinding and clenching. We were able to achieve that using 8 porcelain veneers fabricated in lithium disilicate (emax). As you can see the overall shape of his teeth has been enhanced, still leaving behind the characterization he had prior. It’s important to follow facial symmetry and respect nature in a lot of these types of cases.


    Minimally prepped veneers to change small teeth to larger teeth

    before after small teeth to larger teeth

    In this case we were able to take teeth that appeared a little too small to teeth that now properly fit the face. This patient had just finished orthodontic treatment and was ready for a smile makeover. 8 minimally prepped porcelain veneers were placed to give this patient a new sense of confidence. You can see the teeth are now slightly larger, brighter, and better fitting to his facial dynamics.


    Gummy smile no more

    Dental Veneers before and after

    This is an excellent case to describe the multi-speciality approach. This particular patient did not like her gummy smile and multiple options were presented including botox, veneers, lip reconstruction, etc. Together with the patient we chose to surgically lengthen her teeth. She was referred to periodontists who were able to perform crown lengthening surgery. After healing we prepared and restored her anterior 6 teeth using porcelain veneers. No botox or lip reconstruction had to be done and the patient is now smiling ear to ear with renewed confidence!


    Orthodontics can offer the chance for prepless veneers

    dental veneers brooklyn ny

    Some situations offer us the ability to touch teeth as little as possible. In this situation the patient had orthodontics to create proper spacing between her teeth and we were able to restore beauty and symmetry to her smile using 4 feldspathic veneers with virtually zero tooth preparation. This causes minimal post-operative pain and a beautiful esthetic result.


    Two is better than one in specific situations

    veneer_after_before-1

    Here is a great case of proper patient-doctor communication. This patient wanted one tooth worked on, her left central incisor. However she presented with large decay on her right central incisor and therefore the decision was made to fabricate one feldspathic porcelain veneer and one feldspathic porcelain crown. This decision resulted in a good match of shade and a happy, beautiful smile.


    Minimally invasive porcelain veneers to enhance aging smiles

    veneers_after_before-2

    Unfortunately, time takes a toll on our bodies as well as our teeth. In this particular case, this patient presented with multiple crowns except on her front 4 teeth. She wanted to match her front teeth in the most painless and esthetic manner. We were able to place 4 minimally invasive veneers on her front 4 teeth and mask the yellow color of her original teeth underneath.


    Full arch reconstruction to restore worn dentition

    full mouth rehabilitation brooklyn

    Worn dentition is very prominent and is a result of heavy occlusal forces on our teeth. This patient had worn her bite down significantly over the years and we had planned to increase her vertical opening to relax her joint position albeit restoring her dentition. We were able to do so by placing zirconia crowns and bridges on her back 6 lower teeth for strength and support, and porcelain veneers on her front 8 lower teeth. She’s since had restored function, less clenching/grinding, and restored esthetics.


    “Doc my teeth have dark lines under them”

    Porcelain Veneers Brooklyn

    This is a common complaint we hear and it’s normally due to old porcelain fused to metal crowns which were once the industry standard. The metal from these crowns shows through at the gum level and normally results in an non-appealing presentation. In this case were were able to replace the old crowns and restored 10 teeth using newer porcelain fused to zirconia restorations. These restorations offer beautiful esthetics and customization.


    “I have a lot of yellow/dark spots between my teeth and they hurt”

    veneers in Brooklyn NYC

    This patient presented with multiple cavities between her front teeth. She was put on proper preventative measures to help alleviate the high caries index in her mouth but treatment was necessary on her anterior teeth to help her with her confidence and to eliminate decay. Composite fillings were an option, but the patient wanted to enhance her smile at the same time, and so porcelain veneers were explored. The patient agreed to treatment, and her teeth were prepared, decay cleaned, and 8 beautiful porcelain veneers were placed.


    “I need to close my gap”

    press on teeth veneers brooklyn

    This patient presented with not only a gap in his front teeth, but one that was caused by a large filling that had broken off. 4 ceramic veneers were completed here to enhance and lengthen his smile. A very common type of case that can be achieved here at Quentin Smile Dental and one that can change someone’s life.


    “I hate the color of my teeth”

    before-after-dental-veneers-Brooklyn-NYC-07

    This young patient presented with teeth that were discolored and lateral incisors that were too big for her smile. We were able to give her the smile of her dreams using a very white, but natural and beautiful shade of feldspathic porcelain. In this case, 8 porcelain veneers were placed and customized to our patients' liking giving her a new take on life.


    Smile rejuvenation replacing old fillings with veneers

    before after Dental Veneers (press on teeth veneers)

    This patient wanted to replace her old, failing fillings with something more permanent. Her upper anterior 8 teeth were minimally prepared and restored with 8 porcelain veneers. The patient waited a long time to have this result and couldn’t have been happier.


    Dental Implants & Crowns Before and After

    Read more about dental implants: procedure in Brooklyn. We offer affordable dental implants including, mini implants, single tooth implants, full-mouth implants, denture implants as well as and immediate implant placement. Learn about the dental implant process as well as the most common implant problems.

    Single tooth replacement with dental implant crowns

    Before after implant crowns before after

    Replacing single missing teeth is one of the more rewarding procedures for both dentist and patient. In this case we were able to sculpt the soft tissue around the implant and then insert a beautiful porcelain fused to zirconia crown perfectly matched to her adjacent teeth; a functional, cleansible, and long-lasting dental restoration.


    Multiple missing teeth replaced with single unit implant crowns

    Before after dental implants

    This patient presented from oral surgery with 4 posterior missing teeth, an entire back section of her mouth. She wanted four individual crowns instead of an implant bridge so that she would be able to clean and floss between each tooth. It’s not an option for every patient, but this is exactly what we were able to provide for her. A mix of two porcelain fused to zirconia implant crowns for esthetics and 2 molar full zirconia implant crowns for longevity and strength. Time to eat on this side again!


    Anterior dental implant bridge is the gold standard

    Dental Implants & Crowns Before and After

    Often times patients are presented with failing lower anterior teeth. This will usually warrant the extraction of their front teeth and the insertion of implants. Because these teeth are small and don’t encompass a large distance, the recommendation is generally the placement of 2 implants and a fabrication of a bridge consisting of 4 teeth. This is what you see here. One, four-unit anterior implant bridge constructed in zirconia for this heavy grinder.


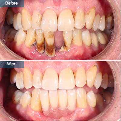
    “Hey doc, I have old implant crowns and don’t like the gap in my teeth”

    Before and after crowns

    Here is a case that involves implants as well as crowns and veneers! A lot going on where we were able to replace aging implant bridgework with new implant restorations. We were also able to close the gap and enhance the smile with a combination of crowns and veneers. Great case for an awesome gentleman!


    “Hey doc, help me smile again”

    Before and after dental impacts

    This gentlemen needed to smile again and alternative treatment options were discussed. Ultimately we decided on the placement of 2 dental implants and the fabrication of a 3-unit dental implant bridge. The patient first wore a temporary bridge to ensure that esthetics and function were good. When we were assured that he was comfortable and ready for final porcelain, our lab was able to fabricate this beautiful porcelain fused to zirconia bridge with pink porcelain (if you look closely between the teeth you’ll notice gum tissue which is actually made of porcelain). We now have an awesome, healthy smile.


    Missing teeth, no problem

    implant_crown_before_after-1

    A simple solution for two missing teeth was the placement of two dental implants and the fabrication of 2 porcelain fused to zirconia crowns. The gold standard when missing teeth. As always, we’ll discuss all viable options and compare the pros and cons as well as fees prior to deciding on what is best for each patient.


    Long-span anterior dental implant bridge

    implants-before-and-after-teeth

    Another case, and another dental implant bridge. In this case we restored this patient’s smile using a 5-unit dental implant bridge on 3 implants. A good option to keep costs down and to still attain awesome clinical results. This patient had a deep bite, so the back surfaces of her teeth actually are fully metallic. You’ll never see that, but it will help protect her restorations.


    Dental implant crown and bridges are the ideal way to replace missing teeth

    Dental Implant Crowns Brooklyn NY

    Here is yet another example of the replacement of missing teeth with dental implants and bridgework. This bridge is made out of porcelain fused to zirconia. We were able to replace the patient’s removable denture with a fixed, beautiful result.


    Congenitally missing lateral incisors

    Before After Dental Implant Crowns

    As far as missing teeth go, anterior lateral incisors are high up on the list. Oftentimes, these are missing from birth and need replacement due to esthetic concerns. In this example, the patient underwent orthodontic treatment to move her teeth into the right position. She then had implants placed and subsequently restored with two porcelain crowns. You can see the dramatic difference in form and flow of her smile in the before and after.


    Missing one central incisor is a challenge to restore

    before after dental implants

    Missing central teeth present a challenge to both the dentist and the ceramist. With implants, we have to pay close attention to the gum tissue prior to proceeding to a final restoration. In this example, the soft tissue around the implant took time to properly form and heal to our liking. Once that happened, we were able to restore this missing tooth with a single porcelain implant crown.


    Denture Implants Before and After (Dental Implant Dentures)

    Read more about denture implants in Brooklyn. Learn about many affordable dentures options available today including “Implant-retained, gum-supported”, “Bar-retained, implant-supported”, “Fixed, implant-supported” implant dentures.

    Not being able to smile

    Before and after of implant over dentures

    Here’s a case where we removed all the patients decaying teeth and replaced them with an upper and lower overdenture. This entire process took 6 months where the patient wore a temporary denture in the interim/healing period.


    “Doc, I think it’s time for new dentures”

    Before after over dentures

    This patient presented with two old dentures. He was ready for a change and we recommended the placement of two lower implants. Once those implants healed, we replaced his upper complete denture and fabricated a lower implant overdenture attached to his implants. He is now able to smile with confidence and function with ease and comfort.


    “I lost my teeth at a young age”

    implant_denture_before_after-3

    We were able to help this patient smile again. Not every case is “fancy” or requires the need for implants and surgery. Here we simply fabricated a complete upper and lower denture and changed this patient’s life forever. It’s important to listen to the needs of every patient in treatment planning and that’s exactly what we did here.


    “All my teeth hurt”

    implant_denture_before_after-2

    This patient presented with severe bone loss from periodontal disease and needed to have all her teeth removed. Here we sequenced the case first finishing the lower arch and then moving on to the upper. Both arches had implants placed and overdentures fabricated. You’ll notice we kept the form of her previous teeth, only enhancing her esthetics and improving lip support and functionality.


    “I’ve had another dentist attempt to place bridges and they keep breaking”

    Before and After Implant Dentures

    In this case the patient presented with multiple implants and failing bridges. We were able to convert this case from a fixed bridge case that kept breaking to a more suitable and predictable removable overdenture case. The patient now has two sets of dentures that clip on to his implants and is able to eat and function properly.


    “My lower teeth are discolored and constantly moving”

    before after dental implants 3

    Another example of extreme bone loss, in this situation really just limited to the anterior four lower teeth. You can see how the dentition was cleaned and what a difference that alone can make. The lower 4 teeth were extracted and a partial denture was fabricated. Again, nothing “fancy” but a predictable, functional, and esthetic result.



    Dental Bonding Before and After

    Read more about teeth bonding, a cost-effective and efficient way of covering up cosmetic dental flaws and repairing minor injuries.

    Diastema closure is one of the more common bonding procedures

    dental-bonding-before-after-teeth2

    Closing an anterior gap, called a diastema, is often very predictable. It’s quite common and a great procedure to have done in one-sitting. No teeth need to be drilled down in this example as this is a solely additive process. This can be achieved with dental bonding material and can result in a beautiful, seamless, and conservative result.


    Cosmetic bonding to replace and reshape missing teeth

    dental-bonding-before-after-teeth

    This is a very “non-textbook” case involving missing canines. Implants are usually the go-to option but this was not in the works for this patient. If you look closely, here laterals were misshapen so we ended up reshaping those teeth and bonding edges to make the teeth appear like lateral incisors. In the missing tooth position, we bonded two lab-fabricated canines to the adjacent teeth (often referred to as Maryland Bridges). A wonderful esthetic result without surgery!


    “I chipped my teeth and have prom photos in 2 days”

    Dental Bonding Before and After

    Chipped edges that you see here can be restored easily and predictably with composite bonding techniques to replicate nature. This patient was in and out in 50 minutes leaving her photo ready for prom. These procedures are done so that there is seamless transition between tooth and composite.


    Peg lateral transformation

    before after dental bonding 2

    The lateral incisors you see in the before photo are a commonly occurring malformation in many patients. There are multiple options to restore these. They can be done in-office with composite or lab-fabricated with porcelain. In this case depending on the young age of the patient, we went with composite. Eventually, she may want to replace these when she is older with porcelain. Either option is minimally invasive without tooth preparation.


    Dental cavities in between anterior teeth

    before after dental bonding

    What you see here is the process of filling the linguals of anterior teeth. Cavities can form in any tooth, but they are likely to happen in between teeth where decay is most likely to penetrate enamel. In these cases we need to carefully access the decay, clean it out, place bonding material, and restore with dental composite.


    Dental emergencies happen

    before-after-emergency-bonding-Brooklyn-NYC-01

    This is a commonly occurring dental emergency we see in children. Falls happen, and when they do it’s important to get to a dental provider as soon as possible. If you can find the tooth fragments, store them in milk and we can oftentimes reattach them. In this case the parents were unable to locate the fragments so we completed this case using dental composite. This patient was happy and back in school smiling the next day.


    Dental Bridge Before and After

    Read more about the types of dental bridge.

    Dental bridges still offer a wonderful and practical option

    dental bridge before after

    In this situation the patient presented with an old failing bridge. You can see the chipping and the old metal showing through the old restorations. We were able to replace this bridge and replicate nature by matching to her existing tooth color. She can now smile confidently again.


    “My front tooth doesn’t look right”

    before after Dental Bridge Brooklyn NYC

    In this case we had to extract this patient’s front tooth as it had severe bone loss. Implants were not an option for this patient. Partial dentures were also an option the patient did not want. The patient did consider restoring his anterior teeth and giving them a younger appearance. The decision was therefore made to replace the two missing teeth with a 6-unit dental bridge. The patient gained two anterior teeth and an upgrade on his existing dentition.


    Cavity Filling Before and After (Composite Fillings)

    Read more about the types of cavity filling we use including amalgam fillings, composite fillings, ceramic fillings and glass ionomer fillings.

    Posterior teeth need love as well

    before after Cavity Filling Composite Fillings

    Back teeth, just like front teeth, need proper maintenance. In this case, a large cavity was cleaned out and restored with dental composite. When placing these deep fillings it’s important for the patient to understand all possible future consequences. In these cases we need to monitor these teeth for symptoms to ensure that root canal therapy is not indicated. It’s always a conversation we’ll have prior to these situations. You can see a lot of effort and time is taken in creating symmetry and beautiful esthetics, even on posterior teeth.


    Multiple posterior fillings are usually done in one appointment

    filling_after_before-1

    Here’s another example of posterior decay. You can see these cavities were smaller than the one above but the decay presented between teeth. This happens because these are areas where food and bacteria will accumulate leading to enamel penetration of acid. In this example 3 teeth were cleaned of decay and restored with dental composite.


    Do you have any questions about the Before & After pictures of the dental implants, dental bonding, cavity filling, composite fillings, soft tissue gum graft in Brooklyn? Would you like more information or schedule an appointment with the best-rated dentist Khabensky DDS of Family Cosmetic & Implants Dentistry? Please contact our dental center for a consultation.

    Call718.339.8852
    Schedule a Cosmetic Dentistry Consultation in Our Brooklyn Dental Center

    We offer consultations for cosmetic dentistry services in our Brooklyn NY dental office. Discuss your desired outcomes with our dentists Alex and Igor Khabensky DDS now by giving us a call at 866-814-2636 and scheduling an appointment.

    Page Updated on Apr 30, 2025 by Igor Khabensky, DDS (Dentist) of Family Cosmetic & Implant Dentistry of Brooklyn

    Family Cosmetic & Implant Dentistry of Brooklyn
    2148 Ocean Ave #401
    Brooklyn, NY 11229
    (866) 814-2636

    Quentin Smile Dental